Are you need a root canal treatment in Auckland? Look no further! The Fraser Dental team is experienced in root canal treatments, and we understand how to do it effectively, efficiently, and, most importantly, safely.
Why Is Root Canal Treatment Necessary?
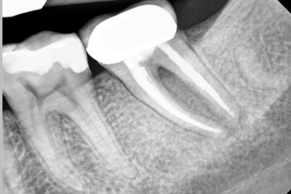
A root canal is a common procedure recommended when a tooth is badly infected. This can happen when the pulp inside a tooth becomes infected with bacteria. An untreated cavity, injury or crack in the tooth can cause this.
In some cases, the tooth may be too damaged to save and need to be extracted.
However, a root canal is preferable to tooth extraction whenever possible, as it allows the natural tooth to stay in place—the Root Canal Procedure.
Before we begin, we’ll apply anaesthetic to the teeth, gums, and surrounding skin to numb the entire area. Our dentist will remove bacteria, the damaged nerve, and the pulp inside the tooth.
Once all the damaged and infected material has been removed, the chamber will be thoroughly cleaned and dried to reduce the risk of further infection.
The next step is to fill the tooth chamber and seal it.
In some cases, a crown may be necessary for the top of the tooth, so a temporary filling will be applied until the permanent crown is ready. After Care, the permanent dental crown will be fitted at a subsequent appointment.
Your mouth is likely to stay numb for a couple of hours after the treatment, so it’s not recommended that you eat until the numbness has worn off.
You may experience some sensitivity or mild pain around the area, but this should not last longer than a few days.
Part of your post-treatment care may include avoiding biting on hard food until the permanent crown is in place.

Maintaining Good Oral Health
Regular dental examinations, dental hygiene appointments, and great brushing and flossing techniques are all important in helping to prevent tooth decay from turning into major dental issues.
Root Canal in Auckland
If you’re in Hobsonville, Auckland, the Fraser Dental team is ready to provide you with the best root canal treatment and take care of all your dental needs.
Don’t hesitate to contact us to schedule your appointment today!